4 Partes do corpo que não servem para nada!

Aqui ficarás a conhecer as quatro partes do corpo, que supostamente, não nos servem para nada, pois não têm qualquer utilidade, a não ser causar transtornos, dor, ou outra coisa do género!

 

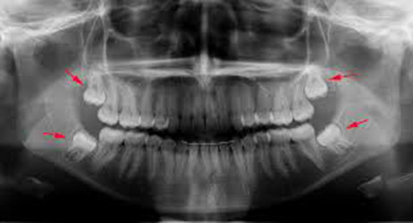
4_partes_corpo_desnecessarias_11. Dentes do Siso
Os sisos são os últimos dentes da boca, aqueles que geralmente nascem quando estamos a dar entrada na vida adulta. Muitas vezes é necessário realizar uma cirurgia para retirá-los, pois podem atrapalhar a estrutura dos outros dentes e/ou causar infecções. Para os nossos antepassados o siso era útil porque facilitava a mastigação. Mas como hoje em dia não precisamos mais de uma arcada dentária forte para mastigar raízes, folhas, morder ossos e arrancar carne, o siso só serve mesmo para dar dores de cabeça, e de dentes.

 

4_partes_corpo_desnecessarias_22. Apêndice
O Apêndice é um orgão vestigial do corpo humano, ele acumula bactérias que auxiliam na digestão e também acumula células linfáticas, que podem produzir anticorpos para a defesa de partes do organismo, como o intestino. Esta função era útil há milhares de anos atrás, mas hoje é completamente desnecessária. Hoje em dia o apêndice serve mesmo para causar apendicite.

 

4_partes_corpo_desnecessarias_33. Hímen
O hímen não tem nenhuma utilidade conhecida para o corpo da mulher. A membrana é um resquício evolutivo que surge quando o embrião do sexo feminino começa a desenvolver-se. Nesta fase a vagina é completamente fechada, quando ela se abre e termina de se formar é que surge o hímen, uma sobra do que tapava a vagina e que não serve para absolutamente nada (e que nos dias de hoje se rompe MUITO CEDO…)

 

4_partes_corpo_desnecessarias_44. Terceira pálpebra
No olho humano a terceira pálpebra é aquela parte rosa no canto do olho humano. Nos animais como os cães e répteis elas cobrem todo o olho e serve para proteger e auxiliar na limpeza, mas para os seres humanos não serve para nada.

 

4_partes_corpo_desnecessarias_5EXTRA:
5. Arrepio
O arrepio não é uma parte do corpo humano, mas sim uma função. Assim como acontece em animais como os gatos, o arrepio serve para fazer com que a gente aparente ser maior em situações que nos causam medo. No entanto, o ser humano já perdeu boa parte dos seus pêlos há muito tempo, por isso o arrepio não serve para muita coisa.


Deixe um comentário

Your email address will not be published.

This site uses Akismet to reduce spam. Learn how your comment data is processed.

MuitoBom.com
Cookies

Este site usa cookies para que possamos fornecer a melhor experiência possível para o usuário. As informações dos cookies são armazenadas no seu navegador e executam funções como reconhecê-lo quando retorna ao nosso site e ajudar a nossa equipa a entender quais seções do site considera mais interessantes e úteis.

Pode ajustar todas as configurações de cookies navegando pelas guias no lado esquerdo.